Trastorno autosómico recesivo del ciclo de la urea causado principalmente por una deficiencia en la actividad de la enzima sintetasa del ácido argininosuccínico que provoca la acumulación del aminoácido citrulina y amoníaco en la sangre. Los síntomas clínicos incluyen falta de apetito, vómitos, apatía, convulsiones y coma. La prueba de detección del recién nacido esContinue reading “Panel Neonaltal Recomendado”
Category Archives: Estudios
¿La tomografía computarizada utiliza radiación ionizante?
¿Las tomografías computarizadas contienen radiación ionizante? Ellos si. Sin embargo, las dosis de IR son pequeñas y no causan cáncer. Existe un riesgo acumulativo de cáncer causado por la radiación ionizante y depende de varios factores. Entre esos factores, la edad del paciente, los órganos que están expuestos a IR y el protocolo de imágenesContinue reading “¿La tomografía computarizada utiliza radiación ionizante?”
¿Qué es el perfil de química sanguínea?
Un perfil químico de la sangre es una prueba que se usa para evaluar el equilibrio de su cuerpo de diferentes compuestos químicos en la sangre. El resultado es un cuadro legible que un médico puede usar para determinar si necesita o no realizar cambios en su estilo de vida. También le informa a suContinue reading “¿Qué es el perfil de química sanguínea?”
Cómo hacer densitometría con un Western Blot
ambién puede utilizar la versión gratuita de Image Studio Light para realizar sus experimentos de densitometría. Hay algunos pasos que debe seguir para realizar una densitometría con una transferencia de Western.
¿Cómo se pueden calcular los tomogramas similares al ultrasonido?
Durante una exploración, un tecnólogo lo guía a través de una serie de pasos para crear una imagen. Dependiendo del diagnóstico, pueden ser necesarias varias imágenes para obtener una imagen precisa. Un técnico de ultrasonido utiliza ondas de ultrasonido para crear imágenes. Una onda de ultrasonido definida es producida por transductores de ultrasonido piezoeléctricos yContinue reading “¿Cómo se pueden calcular los tomogramas similares al ultrasonido?”
¿Qué es el HDL en la química sanguínea?
El HDL es un componente muy importante del perfil lipídico del cuerpo. Los niveles bajos de HDL pueden aumentar el riesgo de enfermedad cardíaca. Por otro lado, los niveles altos de HDL pueden proteger el sistema cardiovascular al eliminar el LDL del sistema. El nivel promedio de HDL es de 60 miligramos por decilitro (mgContinue reading “¿Qué es el HDL en la química sanguínea?”
¿Necesita un IV para la densitometría ósea?
Si bien las dosis de radiación involucradas en los exámenes de densitometría ósea no son muy altas, siguen siendo una preocupación. Las dosis de radiación están diseñadas para producir las mejores imágenes. Afortunadamente, la técnica que se usa hoy en día tiene como objetivo minimizar la radiación parásita, y los sistemas de rayos X modernosContinue reading “¿Necesita un IV para la densitometría ósea?”
Una prueba de colesterol es un ejemplo de análisis químico sanguíneo
Una prueba de colesterol es un análisis químico sanguíneo de sus niveles de LDL y HDL. Estas grasas le dan energía y su cuerpo las almacena si no las usa. Los niveles altos de LDL y HDL pueden indicar un mayor riesgo de enfermedad cardíaca y otros riesgos para la salud. Demasiado LDL y HDLContinue reading “Una prueba de colesterol es un ejemplo de análisis químico sanguíneo”
¿Qué se incluye en una prueba de química sanguínea?
Dependiendo del tipo de análisis de química sanguínea que le hagan, su médico puede solicitar un panel de química sanguínea, que analizará una amplia gama de componentes. Estas pruebas suelen ser parte de un examen físico general, pero algunas pueden usarse para monitorear condiciones de salud específicas o ver si un tratamiento en particular estáContinue reading “¿Qué se incluye en una prueba de química sanguínea?”
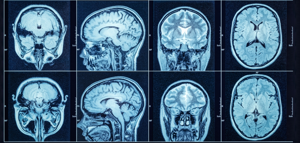
Imágenes por resonancia magnética
Razones para realizar la prueba Se puede realizar una resonancia magnética para diagnosticar un problema o buscar lesiones. Las resonancias magnéticas pueden observar cualquier parte del cuerpo. También se pueden usar para ver si un medicamento o tratamiento está funcionando para una enfermedad. Posibles complicaciones Los problemas son raros, pero todos los procedimientos tienen algúnContinue reading “Imágenes por resonancia magnética”
